본문 바로가기 메뉴 바로가기

🔍 뉴스 검색

💡 검색 팁: 키워드를 입력하면 제목과 내용에서 관련 뉴스를 찾아드립니다.

"피부에 갑자기 하얀 반점이 생겼어요"…혹시 '이 질환'? [몸의경고]

건강365 박희자 | 등록 2026.04.04 04:30
국내 백반증 환자 약 7만명…4년 새 13.5% 늘어
초기엔 작은 반점…시간 지나면 전신으로 퍼져

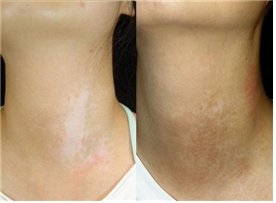
백반증(좌)과 세포이식 후(우). (사진= 분당서울대병원 제공)

어느날 갑자기 피부에 작고 하얀 반점이 생겼다면 '백반증'을 의심해 볼 수 있다. 백반증은 통증이 없고, 초기에는 반점이 작아 대수롭지 않게 넘기는 경우가 많지만 시간이 지나면서 점점 반점이 넓어 지고 전신으로 퍼질 수 있어 주의가 요구된다.

4일 의료계에 따르면 백반증은 피부의 색소를 만들어내는 멜라닌 세포가 파괴돼 피부 일부의 색소가 사라지면서 하얗게 변하는 자가면역질환이다.

백반증은 국내에서 꾸준히 증가하고 있다. 건강보험심사평가원에 따르면, 백반증으로 진료받은 환자 수는 2020년 6만1451명에서 2024년 6만9777명으로 4년 새 13.5% 늘었다. 진료 받지 않은 환자까지 합하면 실제 국내 백반증 환자는 더 많을 것으로 추산된다.

일반적으로 면역체계는 외부의 바이러스나 세균 같은 이물질로부터 몸을 보호하기 위해 작동하지만, 자가면역 질환은 이 면역체계가 오작동하면서 신체조직과 이물질을 구분하지 못하고 우리 몸의 세포와 조직을 공격하게 된다.

멜라닌 세포가 파괴되면서 피부색과 체모의 색을 결정하는 멜라닌 색소를 더 이상 만들어내지 못하게 되면서 점차 피부색이 탈색되고 하얀 반점이 생기게 된다.

이 하얀 반점은 경계가 명확하고 불규칙한 형태로 서서히 번져나가는 특징으로, 전신 어디에서나 발생할 수 있고 특히 얼굴, 손등, 발 등 일상적으로 노출되는 부위에 흔하게 나타난다. 눈에 띄는 부위에 발생할 경우, 환자들은 심각한 정신적, 심리적 스트레스를 호소하기도 한다.

중증으로 심화될수록 반점이 점차 확산되고, 체모(털)의 멜라닌 세포까지 파괴되면, 반점 위의 털도 하얗게 변하는 백모증이 동반될 수 있다. 피부에 생기는 반점 외에 가려움증이나 통증은 동반되지 않으며, 전염되지 않는다.

최종원 분당서울대병원 피부과 교수는 "백반증은 발병 속도가 사람마다 다르고 치료 후에도 재발 가능성이 있기 때문에 하얀 반점을 발견하면 지체하지 말고 최대한 빨리 내원해 정확한 진단과 치료를 시작해야 한다"고 말했다.

백반증이 발병하는 정확한 단일 원인은 아직 명확하게 밝혀지지 않았다. 현재로서는 유전적인 소인, 자기면역기전의 항산화 요소 부족, 햇빛에 의한 화상같이 외상을 입었을 때, 선천적인 멜라닌 색소 부족, 그리고 정신적인 스트레스 등 복합적인 이유로 백반증이 발생한다고 보고 있다.

신체에 하얀 반점을 유발하는 질환은 백반증 외에도 다양하기 때문에 백반증과 헷갈릴 수 있다.
출고일자 2023. 03. 16
associate_pic3
[그래픽=뉴시스]
흔하게 하얀 반점이 관찰될 수 있는 질환으로는 연령대를 기준으로, 출생시 탈색 모반, 5~6세에는 백색비강진, 성인기에는 진행성 반상저색소증, 중장년층에는 콩알만한 작은 하얀 반점이 생기는 특발성 적상저색소증이 있다.

최종원 교수는 "이처럼 하얀 반점이 생기는 피부 질환의 종류가 다양하기 때문에 어떤 피부 질환인지를 알아내기 위해서라도 전문의의 감별이 필요하다"고 말했다.

백반증의 치료는 크게 약물치료, 광선치료, 수술치료로 나뉜다. 약물치료의 경우, 스테로이드나 국소면역억제제를 사용해 자가 면역반응을 조절해 멜라닌 색소가 파괴되지 않도록 한다.

광선치료는 하얀 반점을 자외선에 노출하는 치료 방법으로 반점 주변의 멜라닌 세포를 활성화시켜 하얀 반점 쪽으로 멜라닌 세포가 채워지도록 유도하는 것이니다.

최종원 교수는 "치료를 받으면 한두 달 정도만 지나도 조금씩 반점이 작아지는 것을 볼 수 있다"며 "긴 치료기간과 더불어 치료 효과가 없을 경우 잠시 치료를 멈추는 기간이 필요하다보니 꾸준함이 요구되지만, 점차 줄어드는 것을 확인할 수 있을 정도로 증상이 상당히 호전될 수 있다"고 말했다.

백만증은 당뇨나 류마티스 관절염과 같이 완치가 힘든 편이다. 하지만 병원에 내원해 잘 치료를 받고 관리를 하면 충분히 호전이 가능한 질환이다.

백반증을 예방하려면 무엇보다 강한 자외선을 피해야 한다. 자외선은 백반증을 유발하고 악화하는 요인 중 하나다. 자외선 노출은 멜라닌 세포가 없으면 화상을 입기 쉽기 때문에 백반증이 악화될 위험도 있으며, 자외선 자체가 피부암을 유발하기도 한다.

또, 염증도 조심해야 한다. 상처가 나서 염증이 유발되면 몸의 면역체계가 반응하게 되는데, 그렇게 되면 멜라닌 세포가 더 많은 공격을 받게 된다. 특히, 모발 염색을 할 때 사용하는 염색약이 두피에 자극을 주기 때문에 유의해야 한다. 음주, 흡연이나 염증을 유발하기 쉬운 자극적인 음식을 피해야 한다.

최종원 교수는 "백반증은 조기에 전문적인 진단과 꾸준한 치료를 통해 충분히 증상 호전을 기대할 수 있는 만성질환"이라며 "무엇보다 자외선 차단제를 꼭 바르고 백반증은 멜라닌 세포가 죽는 질환인 만큼 충분한 수면과 운동 등으로 건강한 생활을 만드는 것이 중요하다"고 말했다.


💻 PC 버전 📱 모바일 버전 🔄 자동 감지